宝宝牙齿变黑不是“蛀牙”?一文读懂儿童牙齿黑色素沉着

2025-09-26 09:39:28儿童口腔科 图文/周志强

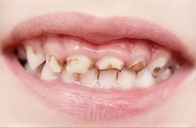
不少家长给孩子刷牙时会突然发现,宝宝乳牙表面出现了黑色或褐色斑块,擦也擦不掉,第一反应往往是“孩子长蛀牙了”。但其实,这可能是儿童牙齿常见的“黑色素沉着”,和蛀牙的成因、处理方式完全不同。

一、先分清:黑色素沉着vs 蛀牙,别搞错!

很多家长容易把两者混淆,但通过外观和手感能快速区分,避免盲目焦虑:

• 黑色素沉着:颜色多为黑色、暗褐色,斑块牢牢附着在牙齿表面,用指甲或棉签擦拭不会脱落,摸起来和正常牙面一样光滑,孩子也不会喊疼。

• 蛀牙(龋齿):初期是白色斑点,慢慢变成黄褐色、黑色,斑块会逐渐“侵蚀”牙齿,摸起来有粗糙感,严重时会形成小黑洞,孩子吃冷热食物可能会感到酸痛。

二、宝宝牙齿为什么会“变黑”?3大常见原因

儿童牙齿黑色素沉着,本质是外源性色素(如食物、细菌代谢物)或内源性因素,附着在牙齿表面或渗透到牙釉质浅层,常见原因有3类:

1. 饮食是“头号功臣”:经常吃深色食物或饮品,比如巧克力、桑葚、火龙果(红心)、可乐、浓果汁等,色素会慢慢附着在牙齿表面;有些宝宝喝的铁剂(如治疗缺铁性贫血的制剂),也可能让牙齿染黑。

2. 口腔细菌在“搞事”:口腔里的某些细菌(如产黑色素类杆菌),代谢时会产生黑色素,这些色素会附着在牙齿表面,尤其容易出现在牙齿靠近牙龈的部位。

3. 牙齿本身的“小特点”:儿童乳牙的牙釉质比成人恒牙更薄、孔隙更大,色素更容易渗透进去,所以乳牙比恒牙更容易出现黑色素沉着。

三、关键问题:黑色素沉着需要治疗吗?

答案是:多数情况不用治,但要做好“观察+清洁”,避免变成“隐患”:

• 对于太小的宝宝或者只有个别牙出现小面积的色素沉着,可以暂时不处理,家长们只需要认真仔细地给宝宝刷牙就行,有些孩子换恒牙后会自然改善。

对于多数牙齿出现大面积色素沉着,严重影响美观,甚至有可能对宝宝心理带来不好影响的情况,就建议家长们带宝宝到专业地口腔医院进行定期地洁牙(和成人洁牙有区别的哦,宝宝洁牙都是采用比较温和的方式,家长们不用太担心会引起宝宝疼痛的问题)。

• 需要注意的情况:如果色素沉着的同时,牙齿表面开始变粗糙、出现缺损,或孩子喊疼,可能是色素下面已经开始蛀牙,需要及时带孩子去看儿童牙科医生。


四、预防+清洁:这样做,减少牙齿“变黑”

与其等牙齿变黑后焦虑,不如提前做好预防,日常清洁是关键:

1. 从“第一颗牙”开始刷牙:宝宝萌出第一颗乳牙后,就用指套牙刷或纱布蘸温水清洁牙齿,每天2次(早上起床后、晚上睡前);3岁后用儿童含氟牙膏(每次米粒大小),教孩子正确刷牙(巴氏刷牙法),每次刷够2分钟。

2. 控制深色食物的“频率”:不是不能吃巧克力、火龙果,而是吃完后及时漱口或喝几口温水,减少色素在牙齿表面停留的时间;喝铁剂的宝宝,喝完后最好用清水漱口(遵医嘱,避免影响铁吸收)。

3. 定期看儿童牙医:每3-6月进行一次口腔检查,让医生判断是色素沉着还是蛀牙,同时可以做“涂氟”保护牙齿,增强牙釉质的抗色素、抗蛀牙能力。

很多家长看到孩子牙齿变黑就慌了,其实只要分清是“色素”还是“蛀牙”,做好日常清洁,多数情况不用特殊处理。如果实在不确定,别自己判断,带孩子去儿童牙科让医生看一眼,比自己焦虑更靠谱。