孩子新长出的门牙像锯齿样是正常的吗?

2025-09-26 09:43:09儿童口腔科 图文/朱宗霞

不少家长发现孩子新长的门牙边缘凹凸不平,像小锯齿一样,难免会焦虑:是不是牙齿发育有问题?其实,这种“锯齿牙”不仅正常,还是儿童牙齿萌出的典型形态。

一、什么是切缘结节

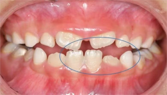
这种锯齿状结构在医学上被称为“切缘结节”,是牙齿发育过程中留下的“痕迹”。我们的门牙在牙槽骨里发育时,并非一次性长成型,而是由3~4个小的牙胚“拼接”而成,萌出后这些拼接处就会形成明显的锯齿边缘。就像乐高积木拼搭的模型,拼接处会留下浅浅的凹槽,牙齿的结节也是同理。



二、切缘结节会消失吗

孩子到5-7岁时,会发生门牙乳恒牙的替换,这个时候从下门牙开始,乳门牙脱落,恒门牙萌出。新长出的门牙体积比原来的门牙体积大,牙面不如原来的乳牙“光滑”,我们会发现新门牙的唇面有两条浅浅的沟,舌面的窝也比乳门牙深且明显。


随着孩子日常咀嚼、啃咬食物(如苹果、玉米等),以及牙齿与牙齿之间的自然摩擦,这些锯齿会逐渐被磨平。通常在牙齿萌出后的1-2年内,锯齿边缘会慢慢变得平滑,最终形成我们常见的整齐门牙形态,无需特殊处理。

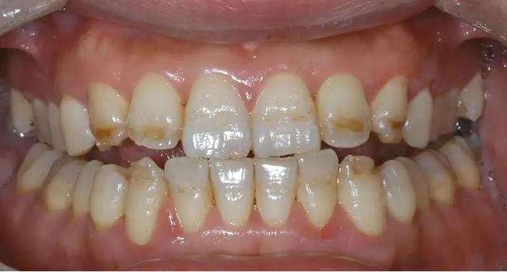
但家长需要注意区分“正常锯齿”和“异常情况”:如果锯齿边缘伴随牙齿颜色异常(如发黑、发黄)、孩子频繁喊牙疼,或牙齿萌出后多年锯齿仍未消退,可能是牙齿钙化不良、龋齿等问题,建议及时带孩子去看牙医。


总的来说,新门牙有锯齿是孩子牙齿生长的“必经阶段”,家长无需过度干预,只需做好日常口腔护理(如每天帮孩子刷牙、使用含氟牙膏),耐心等待其自然磨平即可。